ORTHODONTIE SOURIRE SANTE
Dr DALLE, Dr GIRARDOT
ORTHODONTIE SOURIRE SANTE
Dr DALLE, Dr GIRARDOT

Blog - Page 2

La chirurgie orthognatique – correction de béance antérieure

La chirurgie orthognatique – correction de béance antérieure

HYGIÈNE ET ASEPSIE AU CABINET

HYGIÈNE ET ASEPSIE AU CABINET

Orthodontie : la traction d'une canine palatine incluse

Orthodontie : la traction d'une canine palatine incluse

Agénésie des incisives : la solution des implants dentaires

Agénésie des incisives : la solution des implants dentaires

Traitement multi-attaches

Traitement multi-attaches

Votre expérience des traitements : 20 ans d'évolution

Votre expérience des traitements : 20 ans d'évolution

Comment bien se brosser les dents ?

Comment bien se brosser les dents ?

L'hygiène en orthodontie

L'hygiène en orthodontie

Expansion palatine - activation du disjoncteur

Expansion palatine - activation du disjoncteur

Traitement orthodontique - appareil multi-attache en céramique

Traitement orthodontique - appareil multi-attache en céramique

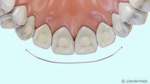
Fil de contention

Fil de contention

Orthodontie : idées reçues, idées revues

Orthodontie : idées reçues, idées revues

Affichage des articles 13-24 sur 106

Derniers articles

Le masque de delaire - chronomask

Le masque de delaire - chronomask

18 Déc 2024
Carriere motion classe ii

Carriere motion classe ii

18 Déc 2024
Gouttières invisibles (avec taquets)

Gouttières invisibles (avec taquets)

18 Déc 2024

Catégories

Création par Webdentiste

Connexion