ORTHODONTIE SOURIRE SANTE
Dr DALLE, Dr GIRARDOT
ORTHODONTIE SOURIRE SANTE
Dr DALLE, Dr GIRARDOT

Dents incluses

Une dent INCLUSE est une dent définitive qui ne pousse pas, qui reste dans l'os alors qu'elle aurait du faire son éruption sur l'arcade.

 

La dent incluse ne se voit pas, c'est l'examen radiographique qui permet de faire le diagnostic.

 

Le diagnostic d'une dent incluse est un diagnostic important et sa prise en charge thérapeutique nécessite un engagement significatif de votre part.

 

 

QUAND FAUT-IL S'ALARMER ?

La persistance anormale de dents de lait doit amener à consulter un orthodontiste ou un chirurgien-dentiste. Les dents définitives qui devraient remplacer ces dents de lait peuvent être absentes (agénésies) ou incluses.

 

Toutes les dents peuvent être incluses mais les plus fréquemment rencontrées sont les canines du haut

(12-13 ans, est le moment où les canines définitives sont censées avoir remplacé leurs homologues de lait).

 

De façon plus rare mais plus visible, ce phénomène peut toucher les incisives centrales du haut.

(En règle générale, à l'âge de 8 ans, les incisives centrales définitives doivent être sorties).

 

Une dent de lait n'est pas encore tombée  ?

C'est le signe d'alerte qui doit vous pousser à consulter.

 

A QUOI EST-CE DU ?

La raison principale est souvent le manque de place sur l'arcade.

 

L'hérédité joue également.

 

Autre cause assez fréquente chez les enfants, surtout pour les inclusions d'incisives : un choc sur une dent de lait lors d'une chute dans la petite enfance. Ce traumatisme, passé inaperçu, a pu abimer le germe de la dent définitive qui du coup a des difficultés à pousser.

 

Autre cause possible : la présence d'un odontome qui gêne l'éruption de la dent définitive

LE DIAGNOSTIC

Peut-on dépister précocement une dent incluse ?

 

L'âge de détection de cette anomalie est un élément déterminant. C'est pourquoi il est recommandé de faire systématiquement à l'enfant une radio panoramique vers 7-8 ans.

Cet examen permet de vérifier que les axes d'éruption des dents définitives sont corrects ou que leurs germes ont une forme normale.

 

Dans certaines situations, la mise en place d'un traitement précoce, notamment un traitement d'expansion maxillaire peut guider l'éruption des dents et favoriser leur éruption. Mais cela ne fonctionne pas à 100 % et certaines canines ne reprennent pas un chemin d'éruption normal même après l'élargissement du palais.

Le diagnostic

 

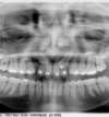
C'est l'imagerie qui permet de diagnostiquer une dent incluse et de préciser le degré de complexité du traitement.

 

  • La radiographie PANORAMIQUE est un bon outil de dépistage.

 

Des l'âge de 6 ans, la panoramique permet au dentiste de détecter des directions d'éruption anormales de dents.

Elle permet de visualiser la situation de la dent incluse dans l'os.

 

  • Nous pourrons aussi vous prescrire des examens complémentaires, notamment le CONE BEAM (CBCT), qui permet de visualiser la dent incluse en 3D, afin de déterminer plus précisément la position de la dent incluse et ses rapports avec les structures avoisinantes, 

LE CAS DE LA CANINE SUPERIEURE

La CANINE peut être bloquée en différentes positions :

Son parcours peut être dévié vers l’extérieur (du côté de la joue) : on parle de canine incluse en position VESTIBULAIRE.

Ou vers l’intérieur (vers le milieu de palais) : on parle de canine incluse en position PALATINE.

Les canines incluses en position palatines sont les plus fréquentes, ce sont aussi les plus compliquées à remettre sur l'arcade.

 

PARTICULARITES D'UN TRAITEMENT AVEC DENT INCLUSE

 

Un problème de dent incluse peut coexister avec d'autres troubles de l'articulé dentaire.

La durée du traitement sera plus longue que la durée moyenne d'un traitement orthodontique classique puisqu'il s'accompagnera en plus du traitement spécifique de la dent incluse.

 

La durée du traitement est difficilement prévisible.

 

Tout va dépendre de la position de la dent incluse (situation plus ou moins haute, vestibulaire ou palatine...), de l'implantation des dents, de l'existence d'anomalies associés (agénésies, manque de place...), de l'âge de votre enfant...

 

Une coopération sans faille est particulièrement importante dans ce contexte de soins.

 

 

LES DIFFERENTES SOLUTIONS THERAPEUTIQUES

La prise en charge d'une dent incluse repose sur plusieurs temps :

 

- Parfois un premier appareillage orthodontique va permettre d'utiliser la croissance de votre enfant pour agrandir sa mâchoire et favoriser l'évolution de la dent qui est mal positionnée dans l'os

 

Si l'inclusion est confirmée, plusieurs solutions thérapeutiques sont envisageables :

 

- Nous pouvons opter pour une prise en charge qui combine la chirurgie et l'orthodontie : il s'agit de la DESINCLUSION CHIRURGICO-ORTHODONTIQUE. Cette intervention, combinée à un appareil est souvent nécessaire pour tirer la dent vers sa position sur l'arcade.

 

- Dans certains cas, lorsqu'elle est trop soudée à l'os, ou trop mal placée, ou que les risques d'abimer les dents voisines lors de la traction sont trop grands, l'orthodontiste peut décider d'extraire la dent incluse.

 

De même, si aucun résultat n'est obtenu après plusieurs tentatives de traction, l'extraction de la dent doit être envisagée.

 

Les différentes possibilités pour le cas de votre enfant, les avantages et les risques de chacune vous seront expliquées lors du rendez-vous de bilan.

LA DESINCLUSION CHIRURGICO ORTHODONTIQUE

L'intervention peut s'effectuer sous anesthésie locale ou sous anesthésie générale, en fonction du caractère invasif de l'acte (nombre de dents incluses, profondeur d'inclusion, situation anormale...) et/ou du statut médical du patient (pathologie médicale, coopération, état psychologique, âge du patient...).

Soit nous réalisons l'intervention sous anesthésie locale au cabinet. Soit nous vous adresserons à un confrère spécialisé en chirurgie buccale qui réalisera l'intervention à son cabinet ou en clinique .

Les suites opératoires normales sont : douleur, gêne masticatoire, oedème (gonflement des joues) ainsi qu'un petit saignement de quelques heures.

 

 

LES ETAPES DE LA DESINCLUSION CHIRURGICO-ORTHODONTIQUE

 

  • Pose de l'appareil multi-attaches et activations de celui-ci jusqu'à retrouver la place suffisante pour la dent incluse
  • Sous anesthésie : dégagement chirurgical de la gencive et de l’os qui recouvre la canine
  • collage d’une attache sur la canine afin de permettre sa traction dans l’axe souhaité
  • Mise en place d’un système de traction (barre transpalatine par exemple si canine maxillaire incluse en position palatine) pour la diriger vers sa position physiologique
  • Quand la canine est assez descendue, suppression du dispositif de traction et suite du déplacement grâce à l'appareil multi-attaches.
  • Activations de l'appareil jusqu'à ce que la canine soit en bonne  position sur l'arcade

 

LES RISQUES LIES A LA TRACTION D'UNE DENT INCLUSE

  • Une résorption (destruction ) de la racine de la dent incluse ou des dents voisines de celle ci peut se produire.

 

  • Il peut exister de petites altérations gingivales en fin de traitement : la gencive de la dent qui était incluse peut apparaitre plus haute ou plus basse que les dents voisines. Des soins parodontaux (gingivaux) peuvent être nécessaires en fin se traitement.

 

LES ECHECS DE TRACTION

- Parfois, la dents incluse n'évolue pas malgré la traction orthodontique : ceci se produit notamment en cas d’ ankylose (soudure de la racine et de l’os), le déplacement de la dent est alors impossible.

Une ankylose ne peut pas être diagnostiquée à l’avance. Elle ne peut qu’être constatée par l’échec de la traction.

- Une anomalie radiculaire de la dent incluse (coudure radiculaire) peut également compromettre l'efficacité de la traction.

 

Dans ces cas où la traction chirurgico-orthodontique ne donne pas de résultats, une révision des objectifs de traitement est nécessaire.

NOS CONSEILS

- Plusieurs facteurs influent sur la difficulté du traitement : sévérité de l’inclusion, âge du patient, existence de troubles associés mais les traitements avec des dents incluses sont en général complexes.

 

- Un examen préalable approfondi est à effectuer avec votre orthodontiste afin de déterminer la solution la plus appropriée.

 

Avoir conscience que la présence d'une canine incluse rend le traitement orthodontique plus long et complexe .

Mais lorsqu'on arrive à mettre la canine en place sur l'arcade, c'est un bénéfice pour toute la vie !

Une coopération sans faille est particulièrement nécessaire dans ce contexte de soins.

 

EXEMPLE DE CAS TRAITE AU CABINET (CORALIE) : AVANT/APRES

PRONOSTIC

Le pronostic de la mise en place chirurgico-orthodontique des dents incluses est généralement bon. Il dépend de l'âge du patient et de la profondeur d'inclusion. En cas d'échec, la dent est généralement extraite et il faudra envisager une autre solution thérapeutique.

 

Création par Webdentiste

Connexion